The Shoulder Surgeon | Specialist keyhole surgery for the treatment of shoulder and elbow problems

The Shoulder Surgeon | Specialist keyhole surgery for the treatment of shoulder and elbow problems
Navigation Home Your surgeon Shoulder Elbow Physio GP Information Testimonials Contact us Links
Common Shoulder Injuries
 
 

Arthritis

X-rays are sufficient to diagnose arthritis. Sometimes additional investigations such as CT scan, ultrasound scan or MR scan may be required to obtain additional information before surgery.
Please see below some examples of diagnositic X-rays.

 

 

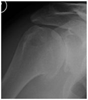
Arthritis of the shoulder shoulder arthritis
X-ray of shoulder demonstrating the arthritis of shoulder

 

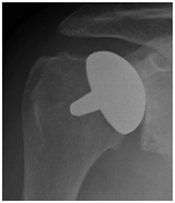
Shoulder replacement shoulder replacement
X-ray of shoulder showing a surface replacement


shoulder reverse shoulder replacement

X-ray of a reverse shoulder replacement

 

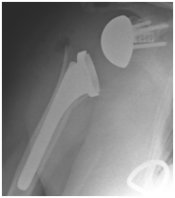
Stemmed shoulder replacement
X-ray of shoulder demonstrating a stemmed shoulder replacement