The Shoulder Surgeon | Specialist keyhole surgery for the treatment of shoulder and elbow problems

The Shoulder Surgeon | Specialist keyhole surgery for the treatment of shoulder and elbow problems
Navigation Home Your surgeon Shoulder Elbow Physio GP Information Testimonials Contact us Links
Common Shoulder Injuries
 

Headline

 

Rotator cuff tears

rotator cuff tear
Rotator cuff tear

The rotator cuff is a group of 4 tendons linked together. These tendons cover the shoulder joint & act as a cuff (similar to the cuff of a shirt sleeve). The function of these tendons is to keep the head of the humerus (arm bone) in the glenoid (socket), and to move the shoulder.

Rotator cuff tears results frequently and is associated with pain & disability to the patients.

 

 

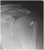
Cuff arthropathy
Cuff Arthropathy

What are the causes of cuff tear?

Rotator cuff tears may result from a traumatic event, like a fall or an accident. It may occur in conjunction with other injuries like fractures or dislocation. Patients may complain of an injury which is followed by pain & weakness in the shoulder. If the tear is a large one patients may not be able to lift their arms up, beyond the level of the shoulder, like overhead activities.

Most often cuff tears especially in the elderly are due to wear & tear. This occurs due to overuse of these tendons over a period of years. These are termed degenerative tears. Those who engage in repetitive overhead activities are more prone to develop these tears.

Who gets them?

Athletes who perform overhead sporting activities like swimmers, tennis players, badminton players etc. It is also common in certain occupations as painters & decorators, plasterers and builders or any heavy manual worker. It is commoner in patients over the age of 40. Younger patients may develop traumatic cuff tears.

What are the symptoms?

Pain on lifting the arm up. Some patients find more pain on lowering the arm from a raised position. In addition to pain weakness is a feature of rotator cuff tear. Pain may be noticed at night time & patients may have difficulty on lying on the affected side.

What investigations are required?

X-rays are useful to exclude any bony injuries such as fractures. Ultrasound is usually a good diagnostic tool. In some patients in addition to ultrasound MR scan may be required.rotator cuff repair

Treatment

Non-operative measures may be used in some patients. These include rest, anti-inflammatory tablets, injections and physiotherapy.

More often patients may require surgery to repair the rotator cuff. This could be done via keyhole surgery (arthroscopic rotator cuff repair).  The operation involves re-attachment of the tendon onto the bone, usually with bone anchors.

Rotator cuff repair

 

cuff repair cuff repair cuff repair cuff repair
i
ii
iii
iv

 

After the operation patients are required to immobilise the shoulder in a sling for a few weeks to allow the tendon to repair onto the bone. Physiotherapy is then commenced to regain motion and strength.

 

Post operation physiotherapy

Physio protocol for Cuff Repair